A 70 year old Female with Neck - Muscle Stiffness and Loss of Speech
A 70yr old female came with complaints of neck muscle stiffness and unable to speak.
History of present illness:-
Patient was apprently asymptomatic 7years back then she developed pain in the right shoulder for which she was managed conservatively
5years ago she developed weakness and giddiness and on evaluation was diagnosed with HYPERTENSION (started with TAB.ATENOLOL 25mg which she stopped 2months ago and started taking TELMA-40 as prescribed by local medical practitioner since the BP was’nt under control).Also since 5yrs she developed pain in both lower limbs for which she was prescribed TAB.ACECLOFENAC AND TAB.PREDNISOLONE-5mg by an RMP and stopped taking these from 2months.
History of past illness:-
Not a known case of DM,TB,Bronchial Asthma
Personal history:-
- She takes mixed diet and has decreased appetite
- She has adequate sleep
- Her bowel and bladder movements are normal and regular
Family history:-
No significant family history
Treatment History:
- TAB. ATENOLOL 5mg
- TELMA - 40
- TAB. ACECLOPHENAC
- TAB. PREDNISOLONE 5mg
General examination:-
- She is conscious
- She has pallor
- There is no icterus,cyanosis,clubbing
- Lymphadenopathy and pedal edema are also absent
Vitals:-
- Temp :- afebrile
- PR :- 105 Beats per minute
- BP :- 130/80 mm of Hg
- Respiratory rate :- 22 cycles per minute
Systemic examination:-
1. Per Abdomen Examination :
- Soft and tender
- No mass and all quadrants moving equally with respiration
2. Cardiovascular system Examination :
3. Respiratory system Examination :
- Normal vesicular breath sounds heard
- No chest wall deformity
- Trachea central
- Expansion is symmetrical
- Percussion note is resonant
- No wheeze or crackles heard.
- Vocal resonance normal and symmetrical
4. Central nervous system Examination :
- Conscious
- Motor system reflexes normal
- Speech :- sluggish response
- Signs of meningeal irritation absent
- Cranial nerves are intact
Provisional diagnosis:-
- ? Hypocalcemic tetany
- ?Parkinsons disease
Investigations ordered:
1. ECG:
2. Complete Blood Picture (CBP):
3. Serum Creatinine:
4. Blood urea:
5. Serum Electrolytes:
23/6/21:
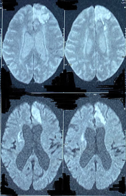
1. Ultrasound
2. X Ray
3. MRI
Treatment given:-
- INJ.OPTINEURON 1amp in 100ml NS IV/OD
- TAB. HIFENAC - MR PO/BD
- TAB.SHELCAL 500mg PO/OD
Plan of treatment:-
- To send serum calcium tomorrow
Treatment:
22/6/21:
1. Ing OPTINEURON lamp in 100 ml N/S IV/OD
X - 1 - X
2. Tab MIFENAC - MR PO/BD
1 - X - 1
3. Tab PAN 40 mg PO/BD
1 - X - X
4. Tab FLUPERTINE PO/BD
1 - X - 1
5. oint OMNIGEL For L/A TID
✓ - ✓ - ✓
6. Tab SHELCAL PO/OD
X - 1 - X
7. IFT Neck Intermittent T cervical fraction
8. GRBS Monitoring
8 am - 2 pm - 8 pm9. Tab Telma 40 mg PO/OD
10. Cervical collar
23/6/21:
1. Ing OPTINEURON lamp in 100 ml N/S IV/OD
X - 1 - X
2. Tab MIFENAC - MR PO/BD
1 - X - 1
3. Tab FLUPERTINE PO/BD
1 - X - 1
4. oint OMNIGEL For L/A TID
✓ - ✓ - ✓
5. Tab SHELCAL PO/OD
X - 1 - X
6. IFT Neck Intermittent T cervical fraction
7. Tab UPRISE D3 60,000 IU weekly once
8. BP/ PR / Temp Monitoring
9. GRBS Monitoring
8 am - 2 pm - 8 pm
10. Tab Telma 40 mg PO/OD
10. Tab Syndopa 110 mg BD
24/6/21 & 25/6/21:
- Same treatment was continued
26/6/21:
1. SYNDOPA 110mg BD stopped
2. TAB CLOPITAB 75mg PO/OD AND
3. TAB ECOSPIRIN-AV 75/20mg PO/OD were added
4. TAB HIFENAC-MR PO/BD
5. TAB TELMA 40 PO/OD AND
6. TAB FLUPIRTINE PO/BD were with held
- Rest of the treatment was same
27/6/21 , 28/6/21 & 29/6/21:
- Same treatment as day 5
1.TAB CLOPITAB 75mg PO/OD
2.TAB ECOSPIRIN -AV 75/20mg PO/OD
3.INJ OPTINEURON 1amp in 100ml NS/IV/OD
4.TAB PAN 40mg PO/OD
5. oint OMNIGEL For L/A TID
✓ - ✓ - ✓
6. Tab SHELCAL PO/OD
X - 1 - X
7. Tab UPRISE D3 60,000 IU weekly once











Comments
Post a Comment